Chỉ số cơ thể Gonado (GSI)
GSI là dấu hiệu chính của sự phát triển buồng trứng. GSI được tăng dần trong thời gian thử nghiệm bằng cách tiêm serotonin. Giá trị GSI ở đối chứng là 2,9± đến 0,04 và giá trị GSI tăng lên 3,88 ± 0,88 do tiêm serotonin. Trong khi đó, GSI cho thấy không có sự gia tăng đáng kể khi tiêm Dopamine (2± 0,03) so với tôm đối chứng và tôm được tiêm serotonin. Mặt khác, giá trị GSI khác biệt đáng kể khi tiêm các chất dẫn truyền thần kinh này (P<0,05), (Hình 5).

Hình 5 GSI của M .rosenbergii đối chứng và thử nghiệm được điều trị bằng dopamine (DA) và serotonin (5-HT).
Sau khi quan sát mô học của buồng trứng, trong trường hợp đối chứng, đường kính trứng là 31,1 ± 0,23µm đến 57,1 ± 0,13 µm và không có thay đổi đáng kể nào được quan sát thấy cả về chỉ số sinh dục cũng như đường kính tế bào trứng ở đối chứng trong 21 ngày thử nghiệm. Việc sử dụng DA không dẫn đến bất kỳ thay đổi đáng kể nào về chỉ số cơ thể của tuyến sinh dục và đường kính tế bào trứng (30,8 ± 0,23µm đến 46,8 ± 0,11µm) khi so sánh với đối chứng trong suốt thời gian thử nghiệm. Mặt khác, tiêm serotonin làm tăng đáng kể chỉ số sinh lý của tuyến sinh dục và đường kính tế bào trứng (45,7 ± 0,15µm đến 247,4 ± 0,15µm. Hình 6, 7&8).

Hình 6 Buồng trứng của con cái đối chứng thực nghiệm M. rosenbergii (Chất dẫn truyền thần kinh) cho thấy noogonia và tế bào trứng ở tế bào trứng tiền sinh sản (PVO), FC: tế bào nang; H&E×200.

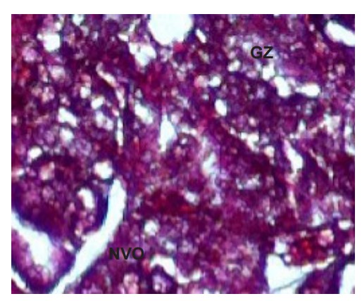
Hình 7 Hiển thị buồng trứng của con cái được điều trị bằng dopamine thử nghiệm M. rosenbergii (Chất dẫn truyền thần kinh); NVO: không có tế bào trứng vitellogen, GZ: vùng mầm; H&E×200.

Hình 8 Hình ảnh phóng to Buồng trứng của con cái M. rosenbergii (chất dẫn truyền thần kinh) thử nghiệm được điều trị bằng Serotonin (5-HT) cho thấy VO: tế bào trứng Vitellogenic, YG: các giọt noãn hoàng; H&E×400.
Các quan sát mô học của buồng trứng của tôm được tiêm DA chỉ ra rằng buồng trứng đang ở giai đoạn chưa trưởng thành, trong khi buồng trứng của tôm thí nghiệm được xử lý bằng serotonin ở giai đoạn sinh noãn hoàng có thể được chứng minh bằng sự xuất hiện của các giọt noãn hoàng trong tế bào trứng của tôm nước ngọt M. rosenbergii. Do đó, có ý kiến cho rằng hai amin sinh học này đóng vai trò trái ngược nhau trong việc kiểm soát sự phát triển buồng trứng và sự trưởng thành tế bào trứng ở tôm.
Ảnh hưởng của hormone sinh dục ở động vật có xương sống đến khả năng sinh sản của giáp xác
Một số yếu tố nội tiết tố như methyl farnesoate, một chất tương đồng về cấu trúc của hormone chưa trưởng thành ở côn trùng, ecdysteroid cũng như các steroid của động vật có xương sống như 17β-estradiol (E2) và progesterone (P) có liên quan đến việc khuyến khích sự trưởng thành buồng trứng ở các loài giáp xác khác nhau. Các hormone giới tính ở động vật có xương sống đã được báo cáo là có trong gan tụy, buồng trứng và hemolymp của động vật giáp xác, mức độ của chúng thay đổi tương quan với chu kỳ trưởng thành của tế bào trứng. Nó làm rõ mối tương quan tích cực giữa mức độ lưu hành của vitellogenin (VTG) và mức độ hemolymp của progesterone và 17-β estradiol (E2) đã được báo cáo ở cua (Shih, 1997; Warrier và cộng sự, 2001; Zapata và cộng sự, 2003) và tôm (E.coccia và cộng sự, 2010). Hầu hết tác dụng kích thích của một số loại hormone sinh dục ở động vật có xương sống như 17β-estradiol và progesterone đối với sự phát triển buồng trứng ở động vật giáp xác đã được chứng minh. Ở tôm càng M. rosenbergii, 17β-estradiol hoạt động như một chất kích hoạt trao đổi chất ở cấp độ tế bào gây ra sự gia tăng ATP-ase của ty thể, cytosolic malate dehydrogenase và glucose-6-phosphate dehydrogenase trong gan tụy (Ghosh và Ray, 1993a). Trong trường hợp của Procambarus clarkii, 17β-estradiol (E2) và 17-hydroxyprogesterone tạo ra sự gia tăng đáng kể chỉ số tuyến sinh dục, trong khi sau đó lại tăng đáng kể đường kính tế bào trứng (Rodriguez và cộng sự, 2002b). Trong trường hợp động vật giáp xác, có bằng chứng cho thấy quá trình sinh noãn hoàng được tổng hợp trong một số mô bao gồm gan tụy và buồng trứng (Shafir và cộng sự, 1992; Khayat và cộng sự, 1994; Lee và Chang, 1999). Ở những sinh vật này, sự hình thành noãn hoàng thứ cấp đi kèm với sự tích lũy noãn hoàng, bao gồm lipid, carbohydrate và protein (Adiyodi và Subramoniam, 1983) lưu thông trong hemolymp dưới dạng VTG, một lipoprotein mật độ cao (HDL) (Lee và Puppione, 1988, Abdu và cộng sự, 2000. Trong nghiên cứu này, tác dụng của steroid sinh dục 17-βestradiol và progesterone lên khả năng sinh sản của tôm càng xanh, được sử dụng làm chất đánh dấu VTG. Tế bào trứng ở giai đoạn hạt sơ cấp (PGS) chứa trong sự tích tụ rộng rãi của các hạt lòng đỏ phân tán khắp tế bào chất. (Hình 9,10 và 11)

Hình 9 Buồng trứng của con cái đối chứng thực nghiệm M .rosenbergii hormone giới tính ở động vật có xương sống) cho thấy tế bào trứng tiền giai đoạn sinh noãn hoàng (PVO) H&E × 200.

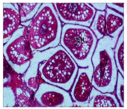
Hình 10 Buồng trứng của M. rosenbergii được điều trị bằng progesterone cho thấy sự xuất hiện của nhiều tế bào trứng ở giai đoạn hạt sơ cấp (pyg) chứa sự tích lũy của các hạt noãn hoàng phân tán khắp tế bào chất. H&E×200.

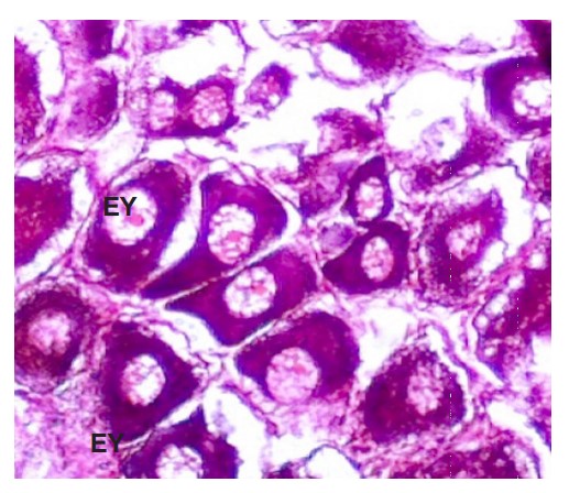
Hình 11 Buồng trứng của con cái M .rosenbergii được điều trị bằng 17β-estradiol cho thấy tế bào trứng vitellogen ngoại sinh (EX) có quầng quanh nhân của vật liệu hạt nhân H&E × 200.
Tế bào trứng đang ở giai đoạn trưởng thành sau khi xử lý hormone giới tính của động vật có xương sống khi so sánh nhóm đối chứng sinh noãn hoàng ở giáp xác là một hiện tượng sinh lý phức tạp, (Nagabhusnam và cộng sự, 1985; Subramoniam, 1999b), Phần lớn giáp xác decapod có trứng noãn hoàng. Do đó quá trình sinh noãn hoàng là quá trình tổng hợp và tích lũy noãn hoàng là một sự kiện quan trọng trong quá trình tạo giao tử cái. Vitellin và lipovitelline là một loại protein chính được hình thành trong buồng trứng trong quá trình này (Adiyodi và Adiyodi, 1970; Nagabhusnam và cộng sự, 1985).
Nghiên cứu về tác dụng sinh lý của DA đối với sự phát triển buồng trứng của decapods M. rosenbergii và khám phá cơ chế hoạt động của DA trong quá trình này. Hướng nghiên cứu tiếp theo sẽ được thực hiện để đánh giá ảnh hưởng của hormone giới tính ở động vật có xương sống (Progesterone và 17-βestradiol) đối với sự trưởng thành buồng trứng và chất lượng trứng của loài giáp xác. Một số loài giáp xác có khả năng tổng hợp hormone giới tính của động vật có xương sống như progesteron; 17-βestradiol và testosterone đã được báo cáo từ nhiều cơ quan sinh sản cũng như không sinh sản như cơ quan hàm dưới, thận, gan tụy, hemolymp, buồng trứng và tinh hoàn của động vật giáp xác (Yano, 1985; Subramoniam, 1999). Loại nghiên cứu này cũng giúp hiểu được cơ chế của vai trò nội tiết tố trong sự trưởng thành tuyến sinh dục của các loài giáp xác có giá trị thương mại quan trọng và cũng cung cấp khả năng điều chỉnh nội tiết tố để tạo ra con giống có chất lượng tốt hơn.
Theo Kumari Aprajita, A.K. Pandey, R. Singh và U.K. Chauhan
Biên dịch: Nguyễn Thị Quyên – Bình Minh Capital
Nguồn: https://www.i-scholar.in/index.php/JOEOH/article/download/50735/41711
Xem thêm:
- Methyl farnesoate Ức Chế Sự Phát Triển Buồng Trứng Giai Đoạn Cuối Và Giảm Khả Năng Sinh Sản Ở Tôm Sú Penaeus monodon
- Ảnh Hưởng Của Mật Độ Thống Khác Nhau Của Ấu Trùng Tôm Biển Litopeneaus Vannamei Đến Chất Lượng Nước Sử Dụng Công Nghệ Biofloc
- Hiệu Quả Và Sự Thay Đổi Mật Độ Vi Khuẩn Trong Ruột Tôm Thẻ Litopenaeus vannamei Được Nuôi Trong Hệ Thống Biofloc Và Hệ Thống Nước Sạch Có Bổ Sung Hỗn Hợp Probiotics Thương Mại
English