Hotline Tư Vấn
1900.866.636
No products in the cart.
Khí hậu là một hiện tượng phức tạp định hình khả năng sinh sống của...
Bệnh EHP do một loài vi bào tử ký sinh có tên Enterocytozoon hepatopenaei gây...
Trong bối cảnh ngành nuôi trồng thủy sản đang đối mặt với nhiều thách thức...
Tóm tắt Nuôi trồng thủy sản hiện là một trong những lĩnh vực nông nghiệp...
Gần đây tôi đã vượt qua mốc 40 năm làm việc với cộng đồng nuôi...
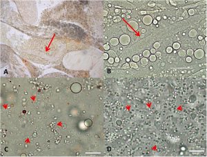
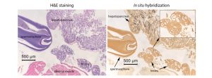
Kết quả Phân tích tiểu đơn vị nhỏ đoạn gen RNA ribosome Khi các đoạn...
Tóm tắt Giới thiệu Vi bào tử trùng Enterocytozoon hepatopenaei lần đầu được phát hiện...
Tóm tắt Quorum sensing là cơ chế giao tiếp giữa các tế bào vi khuẩn...
Trang trại Gokuldham ở Gujarat đã tiến hành cải tạo...
Kết quả của nghiên cứu cho thấy việc cho ăn...
You cannot copy content of this page
Username or email address *
Password *
Remember me Log in
Lost your password?