Các nhà nghiên cứu ghi nhận tỷ lệ sống cao hơn và các dấu hiệu mô học cho thấy sự tái tạo gan tụy trong các thử nghiệm ở Việt Nam với các sản phẩm INVE

Nghiên cứu này cho thấy các biện pháp điều trị bằng probiotic thương mại có tác dụng có lợi cho tôm thẻ chân trắng, bao gồm tỷ lệ sống cao hơn và các dấu hiệu mô học cho thấy sự tái tạo gan tụy.
Hội chứng tôm chết sớm (EMS) là một hội chứng có thể quản lý được. Sự kết hợp giữa các yếu tố bất lợi về dinh dưỡng, an toàn sinh học, sinh lý vật chủ và đặc biệt là quản lý vi sinh vật có thể tạo điều kiện thuận lợi cho các các mầm bệnh cơ hội như Vibrio parahaemolyticus phát triển và chiếm ưu thế trong hệ vi sinh vật xung quanh và bên trong tôm. Khi các yếu tố gây hại hiện diện trong dạ dày và sản xuất độc tố, các bệnh như hoại tử gan tụy cấp tính (AHNPD) sẽ gây ra thiệt hại nghiêm trọng.
INVE Aquaculture đã nghiên cứu vấn đề này trong hơn một thập kỷ, đặc biệt là đối với các dịch bệnh “truyền thống” do Vibrio gây ra. Do đó, việc mở rộng những liệu pháp đã được xác định trước đó để điều trị và ngăn ngừa biến thể Vibrio mới này là một bước tiến hợp lý. Khi áp dụng các sản phẩm probiotics của chúng tôi vào thực tế, như một phần của quy trình can thiệp toàn diện, chúng tôi đã thu thập được một lượng dữ liệu thực nghiệm đáng kể về tác động tích cực của probiotic Bacillus trong quá trình nuôi tôm. Trong nghiên cứu này, mục tiêu của chúng tôi là đo lường tác động của probiotic Sanolife trong mô hình cảm nhiễm với AHPND được tiêu chuẩn hóa trong điều kiện phòng thí nghiệm được kiểm soát.
Thử nghiệm tôm
Tôm thẻ chân trắng (Litopenaeus vannamei) được nuôi và ương tại trại giống và trại ương của Trường Thủy sản, Đại học Cần Thơ. Tôm được theo dõi để đảm bảo không nhiễm các bệnh như WSSV, YHV (IQ2000 YHV/GAV), AHPND và duy trì trạng thái SPF.
Nghiên cứu này sử dụng tôm giai đoạn PL20-25, với trọng lượng cơ thể trung bình khoảng 1g. Đây là độ tuổi và kích cỡ bị ảnh hưởng nhiều nhất bởi EMS/AHPND trong điều kiện nuôi. Nước biển tự nhiên được sử dụng trong suốt thử nghiệm, nước biển được khử trùng và pha loãng đến độ mặn 25 g/L, đây là độ mặn điển hình để nuôi tôm thẻ P. vannamei. Nghiên cứu này được công bố trên tạp chí Aquaculture Asia Pacific 11(6):14-17.
Vi khuẩn
Chủng vi khuẩn được sử dụng trong nghiên cứu này là LTS14. Chủng này ban đầu được phân lập từ tôm được chẩn đoán mô bệnh học về AHPND tại Việt Nam vào tháng 5 năm 2014 và được bảo quản ở nhiệt độ -80°C trong môi trường TSB được bổ sung 1,5% NaCl và 25% glycerol. Vi khuẩn được xác định là V. parahaemolyticus. Việc xác định vi khuẩn được nhận biết thông qua sự xuất hiện các khuẩn lạc màu xanh lá cây trên môi trường Agar TCBS, các xét nghiệm sinh hóa API 20E thông thường, xét nghiệm PCR với mồi LTH và mồi AP3.
Trước nghiên cứu này, độc lực của LTS14 đã được đánh giá rộng rãi bằng các thử nghiệm in vivo và được so sánh với các chủng khác. Liều để cảm nhiễm đã được điều chỉnh để có được đường cong tỷ lệ chết LD50-60 bán cấp tính có thể lặp lại được (Hình 1).

Hình 1: Đường cong tỷ lệ chết tích lũy trong thử nghiệm in vivo V. parahaemolyticus LTS14. Mỗi liều được dùng cho 6 bể với 10 con tôm. Dựa trên thí nghiệm này, liều 2×105 CFU/ml đã được chọn cho những lần cảm nhiễm tiếp theo do diễn biến bán cấp tính của nó.
Thử nghiệm cảm nhiễm
Vi khuẩn được nuôi trong 24 giờ trong môi trường TSB bổ sung 1,5% NaCl ở 28°C. Dựa trên đường chuẩn được xác định cho chủng, huyền phù vi khuẩn được pha loãng trong nước biển đến OD tương ứng với 108 tế bào/ml. Tôm được ngâm trong môi trường nuôi cấy vi khuẩn này trong 15 phút với sục khí liên tục, sau đó cả dung dịch vi khuẩn và tôm được chuyển sang bể chứa nước biển, giảm nồng độ vi khuẩn xuống còn 105, 2×105, 106, 2×106 tế bào/mL. Chỉ thay nước vào thời điểm hai ngày sau cảm nhiễm, lượng nước thay là 20% mỗi ngày.
Thiết kế thử nghiệm
Tôm thử nghiệm được thả với mật độ 30 con/bể với 30 lít nước, sục khí liên tục và các thông số chất lượng nước được duy trì ở mức 29±1°C, pH 7,7±2, NH3 <0,1 mg/L và DO 4 mg/L thông qua việc thay nước hàng ngày.
5 nghiệm thức sau đây được so sánh, mỗi nghiệm thức được lặp lại 3 lần:

Sanolife PRO-2 được trộ vào thức ăn mỗi khi cho tôm ăn và Sanolife PRO-W được thêm vào nước mỗi ngày một lần. Liều Sanolife PRO-2 là 2×108 CFU Bacillus/gram thức ăn và liều Sanolife PRO-W là 2,5×105 CFU Bacillus/ml nước. Trừ nghiệm thức đối chứng âm, tất cả các nghiệm thức còn lại đều được cảm nhiễm với với 2×105 CFU/mL LTS14 và việc theo dõi lâm sàng được thực hiện trong 15 ngày sau cảm nhiễm.
Việc đánh giá các nghiệm thức dựa trên so sánh thống kê về: (1) mức độ nghiêm trọng và thời gian xuất hiện các dấu hiệu lâm sàng; (2) tỷ lệ chết tích lũy; và (3) mức độ nghiêm trọng dựa trên mô bệnh học.
Mức độ nghiêm trọng của các dấu hiệu lâm sàng AHPND
Các dấu hiệu lâm sàng như chán ăn, lờ đờ, cơ thể và gan tụy nhợt nhạt được quan sát thấy trong nhóm đối chứng dương với tỷ lệ 75% chỉ sau 24 giờ cảm nhiễm (nhóm xuất hiện các triệu chứng nhanh nhất). Tôm trong nhóm AB và Sanolife PRO-W cũng biểu hiện các triệu chứng AHPND, nhưng dấu hiệu chán ăn ít rõ rệt hơn với tỷ lệ nhiễm 50%. Ở nhóm được bổ sung Sanolife PRO-2 cũng ghi nhận được các triệu chứng AHPND, nhưng với tỷ lệ thấp (dưới 20%) và cũng là nhóm có thời gian xuất hiện các triệu chứng chậm (72 giờ sau cảm nhiễm). Các dấu hiệu tổng thể được hiển thị trong Hình 2.

Hình 2: Các dấu hiệu tổng thể sau 48 giờ cảm nhiễm với 2×105 CFU/ml V. parahaemolyticus LTS14. (A) tôm thuộc nhóm đối chứng âm (NC), (B) tôm thuộc nhóm đối chứng dương (PC), (C) tôm được xử lý bằng Sanolife PRO-2. Các dấu hiệu tổng thể của AHPND: thiếu thức ăn trong ruột, gan tụy nhợt nhạt và teo gan tụy có thể được ghi nhận rõ ràng ở tôm thuộc nhóm PC. Sự xuất hiện các dấu hiệu bệnh có dấu hiệu chậm lại và giảm dần ở tôm được xử lý bằng Sanolife PRO-2.
Giảm tỷ lệ chết
Tỷ lệ chết bắt đầu ở nhóm PC là 1 ngày sau khi cảm nhiễm và tỷ lệ chết tích lũy đạt 52±10% sau 10 ngày (Hình 3). Trong nhóm AB và Sanolife PRO-W, tỷ lệ chết cũng bắt đầu từ 1 ngày và tỷ lệ chết lũy lần lượt đạt 32±12% và 34±5%. Tỷ lệ chết chậm hơn, tức 4 ngày sau khi cảm nhiễm được ghi nhận ở nhóm Sanolife PRO-2, với tỷ lệ chết tích lũy dừng ở mức 17±3% sau 9 ngày. Về mặt thống kê, kết quả của Sanolife PRO-2 thấp hơn đáng kể so với PC, nhưng vẫn cao hơn so với NC (3±3%).

Hình 3: Đường cong tỷ lệ chết tích lũy của các nhóm nghiệm thức sau khi cảm nhiễm với 2×105 CFU/ml V. parahaemolyticus LTS14. NC: đối chứng âm, PC: đối chứng dương, AB: 2g doxycycline/kg thức ăn, Sanolife PRO-2: 10g/kg thức ăn, Sanolife PRO-W: 5 mg/L nước nuôi.
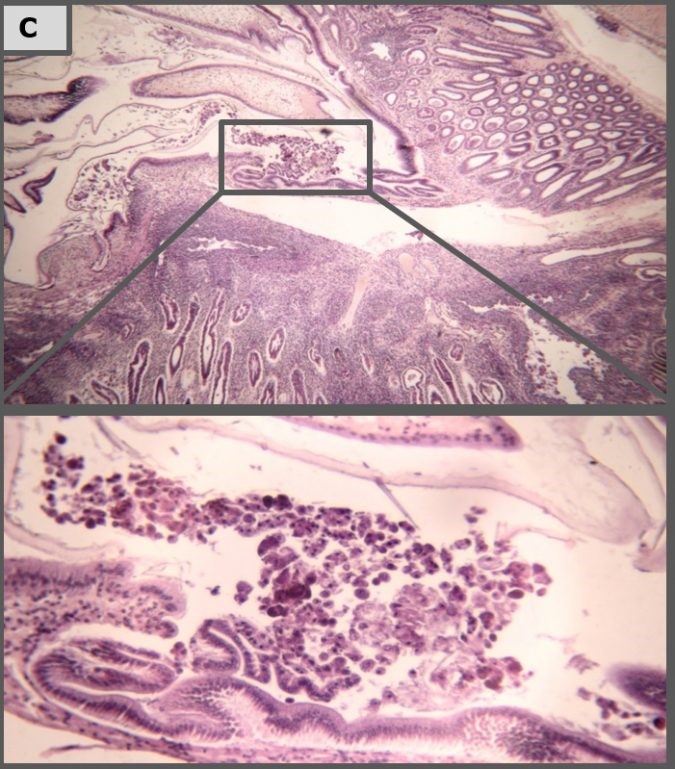
Mô bệnh học
Hình ảnh phân tích mô bệnh học của tôm ở các nghiệm thức khác nhau.

Hình 4A: Đối chứng âm: mô học gan tụy bình thường, với các loại tế bào biệt hóa, đáng chú ý là tế bào B có không bào.

Hình 4B: Đối chứng dương (4 ngày sau cảm nhiễm): Các tế bào biểu mô gan tụy trở nên tròn và bong tróc do độc tố V. parahaemolyticus (đầu mũi tên) trong ống hoại tử, được bao quanh bởi lớp vỏ bọc hồng cầu dày.

Hình 4C: Đối chứng dương (10 ngày sau cảm nhiễm): thâm nhiễm hồng cầu nghiêm trọng quanh các ống gan tụy, các tế bào gan tụy bị bong tróc và rơi vào dạ dày kết hợp với mất một số loại tế bào (tế bào B-, F- và R).

Hình 4D: Sanolife PRO-2 (10 ngày sau cảm nhiễm): Quan sát thấy các tế bào biểu mô gan tụy trở nên tròn và bong tróc không đều (đầu mũi tên D2). Chiều cao biểu mô giảm so với NC, nhưng việc giảm biệt hóa tế bào không đáng kể (chủ yếu là ít tế bào B hơn). Sự thâm nhiễm hồng cầu ít hơn, khoảng kẽ xuất hiện nhiều sợi hơn.
Quan điểm
Mô hình cảm nhiễm AHPND được phát triển và tiêu chuẩn hóa cho nghiên cứu này đã dẫn đến đường cong tỷ lệ chết của nhóm đối chứng dương đạt mức tối đa sau vài ngày và không gây chết hoàn toàn tất cả tôm được tiêm. Mô hình này phản ánh tốt hơn về các trang trại nuôi tôm bùng phát AHPND, và nó cung cấp cơ hội tốt hơn để đánh giá các biện pháp điều trị khả thi so với nhiều mô hình cảm nhiễm khác báo cáo về việc sử dụng nồng độ vi khuẩn quá cao và gây tỷ lệ chết cực kỳ nhanh. Kết quả nghiên cứu trong phòng thí nghiệm của chúng tôi cho thấy rằng phương pháp điều trị bằng probiotic Sanolife PRO-2 và Sanolife PRO-W đã có những tác dụng có lợi, như tỷ lệ sống sống cao hơn và các dấu hiệu mô bệnh học cho thấy sự tái tạo các tế bào gan tụy. Tuy nhiên, tương tự như việc sử dụng kháng sinh, việc điều trị bằng probiotic không đủ để bảo vệ tôm hoàn toàn khỏi mầm bệnh. Để đạt được điều này, cần có một cách tiếp cận toàn diện, hỗ trợ và điều chỉnh hệ thống nuôi cũng như tình trạng sức khỏe của tôm ở mọi cấp độ.
Theo Tiến sĩ Đặng Thị Hoàng Oanh, Tiến sĩ Mathias Corteel và Tiến sĩ Olivier Decamp
Biên dịch: Huyền Thoại – Bình Minh Capital
Xem thêm:
- Cải Thiện Sức Khỏe Và Khả Năng Kháng Nấm Fusarium Của Tôm Thẻ Chân Trắng Thông Qua Việc Thức Ăn Bổ Sung
- Phụ Gia Thức Ăn Phytogen: Tỏi Và Quế Có Thể Cải Thiện Sức Khỏe Và Hiệu Suất Tăng Trưởng Ở Tôm
- Bổ Sung Chiết Xuất Cà Tím Lông (Solanum ferox) Và Gừng Đắng (Zingiber zerumbet) Làm Tác Nhân Sinh Học Thực Vật Trên Tôm Thẻ Chân Trắng (Litopenaeus vannamei)
English