TÓM TẮT
Hệ vi sinh vật đường ruột và môi trường nuôi có liên quan mật thiết đến tình trạng sức khỏe của động vật thủy sản. Việc mất cân bằng nội môi hệ vi sinh vật có thể là nguyên nhân chính dẫn đến bùng phát dịch bệnh trong nuôi trồng thủy sản. Trong những năm gần đây, một dịch bệnh mới mang tên “Bệnh mờ đục” (Translucent Postlarva Disease – TPD) hay “hội chứng thân thủy tinh do vi khuẩn” (Bacterial vitrified syndrome -BVS) đã gây thiệt hại kinh tế nặng nề cho ngành sản xuất giống tôm thẻ chân trắng Penaeus vannamei ở Trung Quốc. Tuy nhiên, vẫn chưa có báo cáo nào được đưa ra về mối tương quan giữa căn bệnh này và sự cân bằng nội môi của hệ vi sinh vật đường ruột hay môi trường. Trong nghiên cứu này, chúng tôi đã thu thập một lô tôm giống (PL) có các dấu hiệu của bệnh mờ đục về mặt lâm sàng và mô học. Chúng tôi đã sử dụng phương pháp giải trình tự thông lượng cao để phân tích sự khác biệt về hệ vi sinh vật giữa tôm giống khỏe mạnh và tôm giống bị bệnh, cũng như môi trường nuôi của chúng. Kết quả phân tích đa dạng alpha cho thấy chỉ số Shannon và Smithwilson ở ruột tôm bị bệnh cao hơn đáng kể (P < 0,05) so với ruột tôm không bị bệnh. Ngoài ra, sự xuất hiện của bệnh đã làm tăng sự tương đồng về đặc điểm hệ vi sinh vật giữa ruột tôm và nước ao nuôi. Cụ thể, khoảng cách tập trung của hệ vi sinh vật được rút ngắn và những đơn vị phân loài (OUT) có trình tự giống nhau đã tăng lên trong ruột và nước của tôm bị bệnh. Sự phong phú của Ralstonia trong ruột tôm bị bệnh đã giảm đáng kể (P < 0,05), nhưng sự phong phú của Vibrio và Mycoplasmataceae lại tăng lên. Cụ thể, sự phong phú của Vibrio trong ruột tôm bị bệnh lên tới 50,04% và chủng chiếm ưu thế được xác định là gần nhất với V. Owensii và V. hyugaensis. Kết quả cho thấy sự phong phú của các gen liên quan chặt chẽ đến sự phát triển, xâm chiếm, bài tiết và vận chuyển các yếu tố độc lực của vi khuẩn, như chuyển hóa carbohydrate, hệ thống hai thành phần và vận chuyển màng, đã tăng đáng kể ở ruột tôm bị bệnh (P < 0,05). Nghiên cứu này cung cấp cơ sở lý thuyết về mối tương quan giữa sự xuất hiện bệnh mờ đục ở tôm giống và sự mất cân bằng nội môi của vi sinh vật, đồng thời đưa ra biện pháp phòng bệnh trong quá trình nuôi tôm.
1. Giới thiệu
Cân bằng nội môi của hệ vi sinh vật đường ruột có liên quan chặt chẽ đến sức khỏe của vật chủ. Hệ vi sinh vật đường ruột có thể hoạt động như một hàng rào ngăn cản sự xâm nhập của mầm bệnh, thúc đẩy sự hấp thụ chất dinh dưỡng của vật chủ thông qua việc tiết ra các sản phẩm ngoại bào và kích thích phản ứng miễn dịch (Rooks và Garrett, 2016; Libertucci và Young, 2019). Một khi sự cân bằng của hệ vi sinh vật đường ruột bị phá hủy, sức khỏe của vật chủ cũng sẽ bị ảnh hưởng (Rungrassamee và cộng sự, 2016). Trong khi đó, các nghiên cứu cũng chứng minh rằng kiểu phát sinh loài và tình trạng sức khỏe của vật chủ đóng vai trò quan trọng trong việc tạo nên thành phần của hệ vi sinh vật (Burns và cộng sự, 2016; Yan và cộng sự, 2016). Trong nuôi trồng thủy sản, một số nghiên cứu đã chỉ ra rằng vi khuẩn đường ruột ở vật nuôi bị bệnh cho thấy những dấu hiệu điển hình và chứng minh rằng những thay đổi trong quần thể vi khuẩn đường ruột có liên quan đến mức độ nghiêm trọng của bệnh ở vật chủ (Xiong và cộng sự, 2015; Cornejo-Granados và cộng sự, 2017; Hou và cộng sự, 2018; Chu và cộng sự, 2019). Ngoài ra, các nhà nghiên cứu đã cung cấp bằng chứng xác thực rằng hội chứng phân trắng ở tôm (WFS) không phải được gây ra bởi một mầm bệnh nhất định, mà gây ra bởi chính sự rối loạn hệ vi sinh vật đường ruột của vật chủ (Huang và cộng sự, 2020). Khác với động vật trên cạn, động vật thủy sản như tôm, cá tiếp xúc trực tiếp với môi trường nước. Do đó, hệ vi sinh vật phức tạp hoạt động trong nước ao hoặc trầm tích có ảnh hưởng đáng kể đến sức khỏe vật chủ (Perez và cộng sự, 2010; Wang và cộng sự, 2021a,2021b). Cho đến nay, các nghiên cứu đã đưa ra một số báo cáo về tác động của hệ vi sinh vật môi trường đối với quần thể vi khuẩn đường ruột của tôm (Zeng và cộng sự, 2020), khám phá sự khác biệt về hệ vi sinh vật giữa nước ao nuôi tôm khỏe và tôm bệnh (Sun và cộng sự, 2020), và xác lập các kiểu hình vi khuẩn chỉ thị trong nước ao để dự đoán tình trạng sức khỏe tôm (Xiong và cộng sự, 2014). Tuy nhiên, các nghiên cứu hiện nay về sự tương tác giữa bệnh tôm và hệ vi sinh vật môi trường hoặc đường tiêu hóa vẫn còn ở giai đoạn đầu, đòi hỏi phải có nhiều nghiên cứu chuyên sâu, chi tiết và lâu dài.

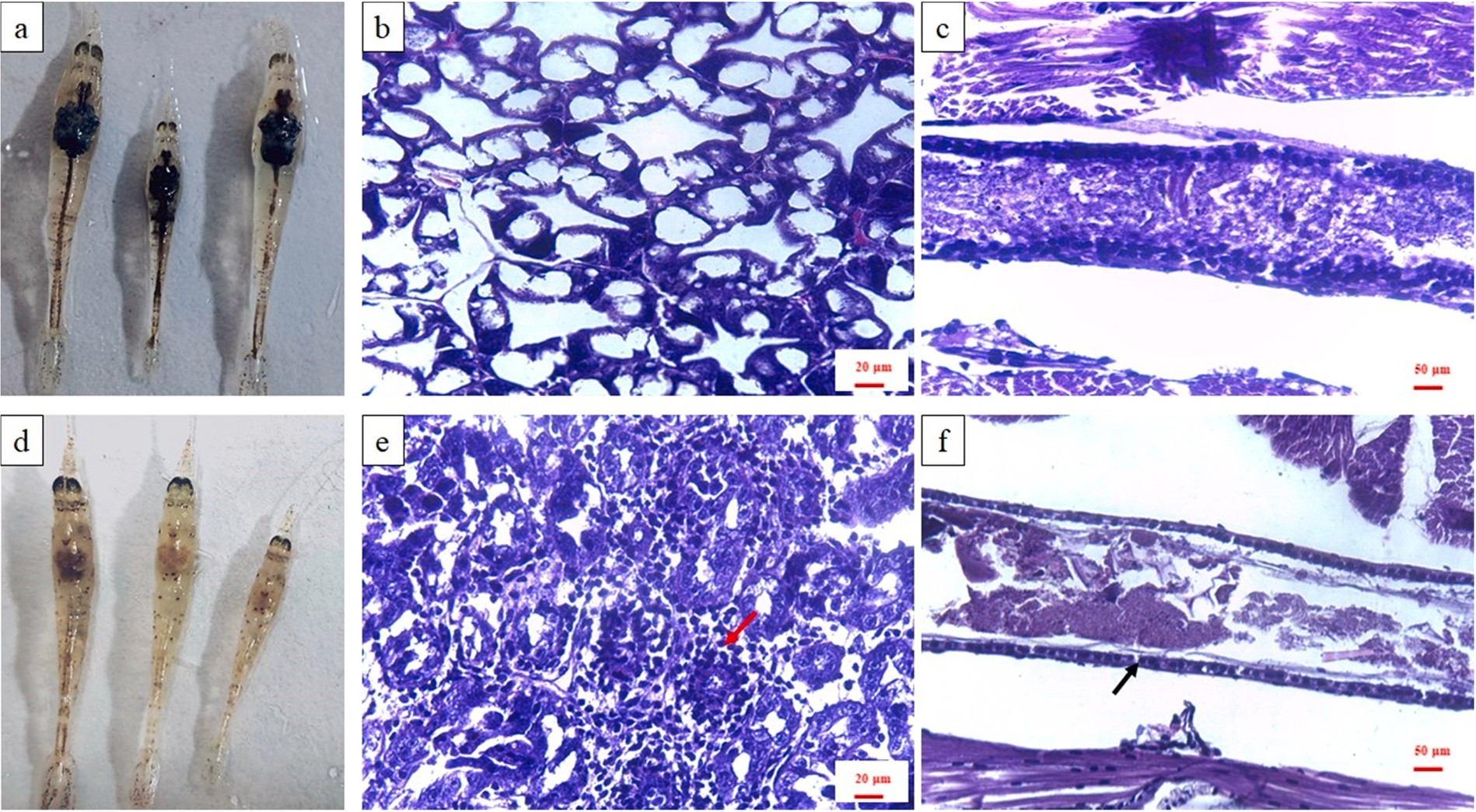
Hình 1. Các dấu hiệu lâm sàng và phần mô học ở tôm khỏe và tôm bị bệnh. (a) Tôm khỏe mạnh. (b) Phần mô học của gan tụy tôm khỏe mạnh. (c) Phần mô học của ruột tôm khỏe mạnh. (d) Tôm bị bệnh. (e) Phần mô học của gan tụy tôm bị bệnh. (f) Phần mô học của ruột tôm bị bệnh. Tôm giống bị bệnh có đặc điểm mờ đục điển hình. Đường viền của gan tụy không rõ ràng và các tế bào biểu mô gan tụy bong ra, cho thấy nhân sẫm màu và đặc trưng (mũi tên đỏ). Ruột trống, thành ruột không hoàn chỉnh, một số tế bào thành ruột bị mất và bị tổn thương (mũi tên đen).
Tôm thẻ chân trắng là một trong những loại thực phẩm có số lượng lớn trong số các mặt hàng thủy sản buôn bán trên toàn thế giới và là loài nuôi quan trọng nhất ở Trung Quốc (Lebel và cộng sự, 2010; Yu và cộng sự, 2021). Năm 2019, sản lượng tôm thẻ chân trắng Penaeus vannamei tại Trung Quốc đạt 1,212 triệu tấn. Sản lượng tăng trưởng nhanh chóng đã thúc đẩy sự phát triển của ngành sản xuất giống và sản lượng tôm giống hàng năm đã vượt hơn 1,5 nghìn tỷ USD (Wang và cộng sự, 2021a, 2021b). Thật không may, ngành tôm giống hiện đang bị đe dọa bởi các dịch bệnh thường xuyên xảy ra với mức độ nghiêm trọng cao. Kể từ tháng 3 năm 2020, một dịch bệnh nghiêm trọng mới đã xảy ra ở một số trại giống tôm thẻ P. vannamei tại các tỉnh Quảng Đông và Quảng Tây, sau đó nhanh chóng lan rộng về phía bắc Trung Quốc, gây thiệt hại kinh tế nặng nề. Bệnh này chủ yếu xảy ra ở giai đoạn tôm post (PL) (Zou và cộng sự, 2020). Tôm bị bệnh có tỷ lệ chết rất cao (gần 100%) với một số dấu hiệu lâm sàng như cơ thể mờ đục, ruột rỗng và gan tụy nhợt nhạt hoặc không màu. Vì vậy, một số nhà nghiên cứu đã gọi căn bệnh này là “hội chứng thân thủy tinh do vi khuẩn” (BVS) hoặc “bệnh mờ đục” (TPD), và chỉ ra rằng Vibrio spp. có thể là nguyên nhân chính gây ra căn bệnh này (Zou và cộng sự, 2020; Wang và cộng sự, 2021a,2021b). Tuy nhiên, vẫn chưa rõ sự thay đổi nào đã xảy ra trong hệ vi sinh vật môi trường và đường tiêu hóa trong thời gian bệnh xuất hiện. Vì vậy, việc khám phá các dấu hiệu vi khuẩn trong nước ao và ruột của tôm bị bệnh từ góc độ vi sinh học là rất quan trọng trong việc hiểu sâu hơn về căn bệnh này.
Trong nghiên cứu này, các triệu chứng, dấu hiệu vi khuẩn đường ruột của tôm post bị bệnh với đặc điểm mờ đục và quần thể vi khuẩn tương ứng trong nước ao đã được điều tra và mô tả, đồng thời thảo luận về mối tương quan giữa những thay đổi của hệ vi sinh vật và bệnh. Kết quả có thể cung cấp tài liệu tham khảo về mặt lý thuyết cho việc phòng ngừa và điều trị căn bệnh này trong tương lai.
2. Vật liệu và phương pháp
2.1. Thu thập mẫu
Tôm thẻ chân trắng Penaeus vannamei giai đoạn PL14 được thu thập từ trại giống ở tỉnh Hà Bắc vào ngày 16 tháng 5 năm 2021. Kích thước của mỗi ao là 68,6 m3 (7 m x 7 m x 1,4 m), nhiệt độ nước là 30°C và độ mặn là 28‰. Tôm bị bệnh có các dấu hiệu lâm sàng mờ đục điển hình. Các mẫu tôm khỏe và tôm bệnh được lấy từ 2 ao khác nhau, bao gồm nước ao nuôi tôm khỏe (HW), nước ao nuôi tôm bệnh (DW), ruột tôm khỏe (HG) và ruột tôm bệnh (DG). Tất cả ấu trùng tôm đều thuộc công ty tôm giống Primo (Texas Primo Broodstock Inc, Hoa Kỳ), có cùng thời gian nuôi và cách quản lý. Không có sự khác biệt đáng kể về chiều dài và trọng lượng cơ thể giữa tôm post khỏe mạnh và bị bệnh (P > 0,05, Bảng S1).
Điểm lấy mẫu được lấy dọc theo đường chéo của ao, gồm 3 điểm, 2 điểm ở 2 góc và 1 điểm ở giữa, khoảng cách giữa các điểm lấy mẫu liền kề là 4,9 m. Một mẫu tôm (2–4 g) và một mẫu nước (1000 mL) được thu thập từ mỗi điểm lấy mẫu. Các mẫu nước được lấy ở độ sâu 0,5 m và sử dụng màng lọc vô trùng 0,22 µm để lọc. Vì tôm post kích thước nhỏ nên phương pháp mổ là không khả thi, hãy tham khảo phương pháp của Niu và cộng sự (2012) để lấy mẫu ruột. Tôm post được thu thập bằng bộ lọc và sau đó rửa sạch trong 30 giây với 50 mL dung dịch benzalkonium clorua (BKC) nồng độ 1% đã được làm lạnh trước, sau đó rửa 3 lần trong 30 giây bằng 50 mL nước biển vô trùng đã được làm lạnh trước. Nghiên cứu sử dụng toàn bộ cơ thể tôm để chiết xuất DNA hệ sinh vật đường ruột, bao gồm ruột trước (dạ dày), ruột giữa (gan tụy) và ruột sau (ruột). Tất cả các mẫu được bảo quản ở nhiệt độ -80°C ngay sau khi thu thập.
2.2. Mô bệnh học
Tôm khỏe và tôm bệnh được rửa sạch bằng nước biển vô trùng 3 lần, sau đó cho vào dung dịch paraformaldehyde nồng độ 4% để cố định và phân tích mô bệnh học. Sau 24 giờ cố định, các mẫu tôm được khử nước bằng cồn 75% và làm sạch, sau đó nhúng vào parafin và cắt thành từng phần. Các phần cắt này sau đó được nhuộm bằng phương pháp nhuộm hematoxylin và eosin (H&E) (Cardiff và cộng sự, 2014).

Hình 2. Phân tích thống kê về tính đa dạng alpha của hệ vi sinh vật bằng phép thử T của Welch (a) Chỉ số Shannon. (b) Chỉ số Simpson. (c) Chỉ số Chao. (d) Chỉ số Smithwilson. *P < 0,05, ** P < 0,01, *** P < 0,001.
2.3. Chiết xuất DNA, khuếch đại PCR và giải trình tự Illumina MiSeq
DNA bộ gen của quần thể vi sinh vật từ ruột và nước được chiết xuất bằng Bộ DNA E.Z.N.A.® (Omega Bio-tek, Norcross, GA, U.S.) theo hướng dẫn của nhà sản xuất. Sau khi kiểm tra trên gel agarose 1%, nồng độ và độ tinh khiết của dịch chiết DNA được xác định bằng máy quang phổ UV-vis NanoDrop 2000 (Thermo Scientific, Wilmington, USA). Vùng siêu biến V3-V4 của gen 16 S rRNA được khuếch đại bằng máy điều nhiệt PCR ABI GeneAmp® 9700 (ABI, CA, USA) với chương trình sau: ở 95°C trong 3 phút; 27 vòng lặp ở 95°C trong 30 giây và 72°C trong 45 giây; sau đó tăng ở 72°C trong 10 phút và kết thúc ở 4°C. Trình tự mồi là: 338 F (5′-ACTCC- TACGGGAGGCAGCAG-3′) và 806 R (5′-GGACTACHVGGGTWTC-TAAT-3′), và các hỗn hợp PCR chứa 5 × FastPfu Buffer 4 μL, 2,5 mM dNTPs 2 μL , 0,8 μL cho mỗi mồi xuôi và mồi ngược (5 μM), FastPfu Polymerase 0,4 μL, BSA 0,2 μL, DNA mẫu 10 ng, và cuối cùng là ddH2O lên đến 20 μL. Sản phẩm PCR được định lượng bằng Máy đo huỳnh quang Quantus™ (Promega, Hoa Kỳ). Thư viện được xây dựng bằng cách sử dụng Bộ công cụ DNA-Seq nhanh NEXTflex™ (Bioo Scientific, Hoa Kỳ) và các bộ khuếch đại tinh khiết được gộp lại theo trình tự cân bằng và đầu cặp bằng cách sử dụng nền tảng Illumina MiSeq PE300 (Illumina, San Diego, Hoa Kỳ) của Công ty TNHH Công nghệ Majorbio Bio-Pharm (Thượng Hải, Trung Quốc). Các trình tự thô đã được gửi vào cơ sở dữ liệu NCBI Sequence Read Archive (SRA) với số gia nhập: PRJNA750291.
2.4. Tin sinh học và phân tích thống kê
Dữ liệu được phân tích trên nền tảng trực tuyến miễn phí của Majorbio Cloud Platform (www.majorbio.com). Các lần đọc được ghép đôi thô đã được phân tách, lọc chất lượng bởi Fastp (phiên bản 0.20.0, https://github.com/OpenGene/fastp) (S. Chen và cộng sự, 2018) và được hợp nhất bằng FLASH (phiên bản 1.2.7, http://www.cbcb.umd.edu/software/flash) (Magoc và Salzberg, 2011). Những đơn vị phân loài (OTU) được nhóm lại với nhau ở ngưỡng giới hạn tương tự 97% bằng cách sử dụng UPARSE (phiên bản 7.1, //drive5.com/uparse/) và các chuỗi chimeric hoặc được phân loại là Archaea đã được loại bỏ (Stackebrandt và Goebel, 1994; Edgar, 2013). Sau đó, được phân tích về mặt phân loại bằng RDP Classifier (phiên bản 2.2, http://rdp.cme.msu.edu/) dựa trên cơ sở dữ liệu Green Gene (phiên bản 135, http://greengenes.secondgenome.com/) sử dụng ngưỡng tin cậy 70% (Wang và cộng sự, 2007). Thông tin phong phú của OTU đã được chuẩn hóa và tương ứng với mẫu chứa ít chuỗi nhất cho các phân tích tiếp theo (Cai và cộng sự, 2014).
Chỉ số đa dạng Alpha (Shannon, Simpson, Chao và Smithwilson) của quần thể vi khuẩn được Mothur tính toán (phiên bản 1.30.2, https://www.mothur.org/wiki/Download_mothur). Qiime (phiên bản 1.9.1, http://qiime.org/install/index.html) đã được sử dụng để tạo bảng độ phong phú của từng cấp phân loại và tính khoảng cách đa dạng beta (khoảng cách Bary-Curtis) (Lu và Salzberg, 2020). Thử nghiệm T của Welch được sử dụng để phân tích sự khác biệt của các chỉ số này giữa các nhóm và để xác định các đơn vị phân loại phong phú nhất trong các mẫu này. Phân tích thành phần chính (PCA), phân tích độ tương tự (ANOSIM) và cây phân cụm theo cấp bậc được thực hiện để phân tích sự khác biệt tổng thể của cấu trúc quần thể vi khuẩn. Phân tích phân biệt tuyến tính Effect Size (LEfSe) được sử dụng để xác định các dấu hiệu sinh học có ý nghĩa thống kê trong các mẫu này, sau đó so sánh tầm quan trọng của sự khác biệt giữa các mẫu trong ruột của tôm khỏe và tôm bị bệnh. Tax4fun (phiên bản 0.3.1, http://tax4fun.gobics.de/) đã được sử dụng để dự đoán chức năng của hệ vi sinh vật từ dữ liệu 16 S rRNA dựa trên Bách khoa toàn thư về gen và bộ gen (KEGG) ở Kyoto ở cấp độ 1, 2 và 3 (Asshauer và cộng sự, 2015). Sự khác biệt về mức độ phong phú của chức năng vi khuẩn đường ruột giữa tôm khỏe và tôm bệnh được phân tích bằng phép thử T. (P < 0,05 cho thấy sự khác biệt đáng kể).

Hình 3. Phân tích đa dạng beta của quần thể vi khuẩn. (a) Phân tích thành phần chính (PCA) của các mẫu khác nhau. (b) Cây phân cụm theo cấp bậc của cấu trúc quần thể vi sinh vật dựa trên số liệu khoảng cách Bray-Curtis.
2.5. Phân lập và xác định vi khuẩn
Tôm post bị bệnh được làm sạch trong 30 giây bằng cồn 75% để khử trùng bề mặt và rửa ba lần trong 30 giây bằng nước biển vô trùng. Sau khi được xử lý hoàn toàn, mẫu được đặt trên môi trường TCBS Agar và ủ ở 30°C trong 24 giờ. Các khuẩn lạc chiếm ưu thế được chọn để tách và tinh chế cho đến khi thu được các dòng phân lập thuần khiết. DNA vi khuẩn được chiết xuất bằng bộ lọc DNA Genomic Wizard® (Promega Cat. No. A1120). Các mồi phổ biến 16 S là: 16S-27 F (5′-AGAGTTTGATCCTGGCTCAG-3) và 16S-1492R (5′-GGTTACCTTGTTACG ACTT-3) và giao thức PCR như sau: 95°C trong 5 phút; 30 vòng lặp ở 94°C trong 30 giây và 57°C trong 30 giây, sau đó 72°C trong 90 giây; và cuối cùng ở 72°C trong 10 phút. Trình tự gen 16 S rDNA của vi khuẩn được thực hiện bởi Công ty TNHH Công nghệ Sinh học Sangon. (Thượng Hải, Trung Quốc). Trình tự 16S rDNA của 20 chủng có độ tương đồng cao nhất đã được chọn và phân tích tương đồng được thực hiện bằng phần mềm MEGA 5.0. Cây phát sinh gen được xây dựng bằng phân tích bootstrap dựa trên thuật toán Neighbor-Joining (NJ) với 1000 lần lặp lại (Kumar và cộng sự, 2008).
3. Kết quả
3.1. Dấu hiệu lâm sàng và phân tích mô bệnh học của tôm PL bị bệnh
Gan tụy và ruột của tôm PL khỏe mạnh được xác định rõ (Hình 1a), và hiển thị với các đặc điểm mô học bình thường (Hình 1b, c). Ruột PL của tôm bị bệnh trống rỗng, trong khi gan tụy bị bào mòn, nhợt nhạt và trong mờ (Hình 1d). Phân tích mô bệnh học cho thấy gan tụy của tôm bị bệnh bị teo, tế bào biểu mô bị hoại tử và bong tróc, số lượng tế bào B và R giảm, nhân đông đặc lại và thành những vết bẩn lớn (Hình 1e). Vật chất trong đường ruột giảm đáng kể, và thành ruột bị tổn thương (Hình 1f).

Hình 1. Dấu hiệu lâm sàng và phần mô học của tôm khỏe mạnh và tôm post bị bệnh. (a) Tôm khỏe mạnh. (b) Phần mô học của gan tụy tôm khỏe mạnh. (c) Phần mô học của ruột tôm khỏe mạnh. (d) Tôm bệnh. (e) Phần mô học của gan tụy tôm bị bệnh. (f) Phần mô học của ruột tôm bị bệnh. Tôm post bị bệnh cho thấy các đặc điểm mờ điển hình. Đường viền của gan tụy không rõ ràng, và các tế bào biểu mô gan tụy bong ra, cho thấy các hạt nhân đặc màu đen điển hình (mũi tên đỏ). Ruột rỗng, thành ruột không hoàn chỉnh, và một số tế bào thành ruột bị thiếu và bị tổn thương (mũi tên đen).
3.2. Đặc điểm chung về sự đa dạng, cấu trúc và thành phần cộng đồng vi khuẩn
Tổng cộng có 534.449 trình tự chất lượng cao, thuộc về 223 OUT ở mức độ tương tự 97% sau khi chuẩn hóa, được lấy từ 12 mẫu. Độ đồng nhất (chỉ số Smithwilson) và tính đa dạng (chỉ số Shannon) của các cộng đồng vi khuẩn trong nước ao cao hơn đáng kể so với các cộng đồng vi khuẩn trong ruột tôm, bất kể tôm có bị bệnh hay không (P < 0,01, Hình 2a, d). Khi tôm khỏe mạnh, chỉ số Simpson của vi sinh vật trong nước ao thấp hơn đáng kể so với ruột tôm (P < 0,001, Hình 2b). Dịch bệnh bùng phát không ảnh hưởng đáng kể đến sự phong phú (Chao), độ đồng nhất (Smithwilson) và tính đa dạng (Shannon, Simpson) của vi sinh vật trong nước ao (P > 0,05). Tuy nhiên, cộng đồng vi khuẩn trong ruột tôm bị bệnh cho thấy tính đa dạng và độ đồng nhất (chỉ số Smithwilson) cao hơn đáng kể so với tôm khỏe mạnh (P < 0,05), không có thay đổi đáng kể về độ phong phú (chỉ số Chao) (P > 0,05, Hình 2c).

Hình 2. Thử nghiệm thống kê về sự đa dạng alpha của hệ vi sinh vật bằng cách sử dụng thử nghiệm Welch’s t test. (a) Chỉ số Shannon. (b) Chỉ số Simpson. (c) Chỉ số Chao. (d) Chỉ số Smithwilson. *P < 0,05, * * P < 0,01, * ** P < 0,001.
Theo kết quả Phân tích thành phần chính (PCA) ở cấp độ chi, 4 loại mẫu được tách ra và tạo thành 4 cụm riêng biệt, và thử nghiệm phân tích sự tương đồng (ANOSIM) đã chứng minh rằng sự khác biệt giữa 4 loại mẫu là đáng kể (R = 0,9444, P = 0,001, Hình 3a). Ngoài ra, khoảng cách phân cụm cấu trúc cộng đồng vi khuẩn giữa các mẫu DG và DW nhỏ hơn so với giữa các mẫu HG và HW (Hình 3a, b).

Hình 3. Phân tích đa dạng beta của cộng đồng vi khuẩn. (a) Phân tích thành phần chính (PCA) của các mẫu khác nhau. (b) Cây phân cụm phân cấp của cấu trúc cộng đồng vi sinh vật dựa trên số liệu khoảng cách Bray-Curtis.
Theo Peng Yu, Hongwei Shan, Yu Cheng, Jingjing Ma, Kai Wang, Hongyang Li
Nguồn: https://www.sciencedirect.com/science/article/pii/S2352513422004069
Biên dịch: Đoàn Thị Huyền Thoại – Nguyễn Thị Quyên
Xem thêm:
- Sản Xuất Tôm Thẻ Chân Trắng Bố Mẹ Chất Lượng Cao, An Toàn Sinh Học Bằng Công Nghệ Nuôi Trong Nhà Khép Kín
- An Toàn Sinh Học Và Vai Trò Của Nó Trong Việc Giảm Thiểu Tác Động Của Dịch Bệnh Tại Các Cơ Sở Sản Xuất Tôm Giống
- Liệu EHP Có Phải Là Nỗi Lo Chính Liên Quan Đến Sức Khỏe Tôm Đối Với Các Nhà Sản Xuất Ở Châu Á?
English