Ức chế sự hình thành biofilm (màng sinh học) của Vibrio trong điều kiện in vitro và bảo vệ tôm chống lại AHPND khi thức ăn được bổ sung chiết xuất gừng
Giống như hầu hết các vi khuẩn khác gây bệnh ở người và động vật, các chủng vi khuẩn Vibrio parahaemolyticus được phân lập cụ thể là loài xâm chiếm và hình thành màng sinh học trên lớp vỏ chitin bên trong dạ dày trước khi giải phóng độc tố phá hủy các mô gan tụy lân cận. V. parahaemolyticus được phát hiện là nguyên nhân gây bệnh hoại tử gan tụy cấp tính (AHPND) ở tôm he. Chiết xuất ethanol của gừng (Zingiber officenale) được phát hiện có tác dụng ức chế màng sinh học của vi khuẩn gây AHPND nhưng không ảnh hưởng đến sự phát triển của chúng trong điều kiện in vitro.
Khi tôm được cho ăn thức ăn có bổ sung chiết xuất gừng, tỷ lệ sống của tôm tăng 40-60% sau khi nhiễm vi khuẩn AHPND so với tôm bị nhiễm bệnh được cho ăn thức ăn bình thường không bổ sung chiết xuất gừng. Chúng tôi nhận thấy các hợp chất ức chế màng sinh học, như chiết xuất gừng, có thể được sử dụng để điều trị hoặc giảm tác động tiêu cực của vi khuẩn AHPND thay vì sử dụng kháng sinh có hại.

Chất chiết xuất từ gừng có chứa các hợp chất hoạt tính sinh học như shogaol được phát hiện là có tác dụng ức chế sự hình thành màng sinh học do vi khuẩn Vibrio gây bệnh AHPND.
Màng sinh học và bệnh do vi khuẩn
Việc hình thành màng sinh học hoặc bám trên bề mặt là chế độ sống ưa thích của hầu hết các vi khuẩn. Màng sinh học được đặc trưng bởi các tế bào vi khuẩn dính vào chất nền và bám trên một ma trận các chất cao phân tử ngoại bào. Sống trong màng sinh học cho phép vi khuẩn sinh sôi nảy nở nhanh hơn. Viện Y tế Quốc gia Hoa Kỳ đã ước tính rằng hơn 80% tất cả các bệnh do vi khuẩn ở người và động vật có liên quan đến màng sinh học của vi khuẩn. Vi khuẩn Vibrio bao gồm các chủng phân lập gây AHPND cũng đã được chứng minh là hình thành màng sinh học trong lớp chitin của dạ dày tôm trước khi các tế bào vi khuẩn sản xuất và giải phóng độc tố PirA và PirB phá hủy các tế bào gan tụy lân cận, cuối cùng làm chết tôm, gây hiện tượng chết sớm.
Để phòng ngừa hoặc xử lý AHPND, một số chiến lược đã được thực hiện, bao gồm cả việc sử dụng thuốc kháng sinh mà ngay bản thân nó đã là một biện pháp rất đáng lo ngại. Vấn đề nghiêm trọng nhất đối với việc sử dụng kháng sinh là nó có thể dẫn đến sự phát triển của vi khuẩn kháng kháng sinh, đây hiện là mối đe dọa đến sức khỏe cộng đồng trên toàn cầu. Hơn nữa, việc sử dụng kháng sinh thường dẫn đến sự từ chối hoặc cấm tôm và các sản phẩm liên quan tôm nhiễm kháng sinh ở các quốc gia nhập khẩu.

Các tấm microtiter chứa các giếng có màng sinh học của VAHPND đã hình thành được nhuộm màu tím pha lê và độ dày của chúng được đo bằng chỉ số độ hấp thụ.
Để tránh các vấn đề liên quan đến kháng sinh, chúng tôi đã nghiên cứu khả năng sử dụng chất chiết xuất từ nguyên liệu thực vật mà không tiêu diệt hoặc ức chế sự phát triển của vi khuẩn gây bệnh, mà chỉ ức chế sự hình thành màng sinh học của vi khuẩn trong hoặc trên vật chủ. Các chiết xuất từ thực vật này ban đầu được sàng lọc trong điều kiện in vitro về khả năng ức chế sự hình thành màng sinh học của chủng V. parahaemolyticus 3HP (VAHPND) trong môi trường Mueller Hinton (MHB) với 1 v/v glycerol và 1,5% NaCl nhưng không ức chế sự phát triển của tế bào sinh vật phù du của vi khuẩn. Từ việc sàng lọc một số chất chiết xuất từ thực vật, chúng tôi nhận thấy rằng chất chiết xuất trong etanol của gừng là một trong những chất chiết xuất có đặc tính chống lại VAHPND.
Ức chế màng sinh học của vi khuẩn AHPND nhưng không ảnh hưởng đến sự tăng trưởng của vi khuẩn
Để có chiết xuất etanol của gừng, đầu tiên bột khô rễ gừng (20g) được chiết bằng etanol 95% (300mL) sử dụng thiết bị Soxhlet đặt ở 78°C trong khoảng 14 giờ. Sau đó, dung môi (etanol) được loại bỏ khỏi dịch chiết thu được bằng máy ở 42°C, thu được chất nhớt màu nâu vàng (2,74g), từ đó tạo ra được 137 mg/g (13,7%) bột gừng.
Dịch chiết cô đặc thu được được pha loãng trong dimethyl sulfoxide (DMSO) (40mg/mL) và pha loãng thêm với nước cất vô trùng để đạt được nồng độ cuối cùng là 20mg/mL và 2mg/mL để sử dụng trong các thử nghiệm tăng trưởng tế bào Vibrio, thử nghiệm ức chế màng sinh học và các thử nghiệm cho ăn. Các chế phẩm pha loãng cuối cùng này (20μL/giếng) được thêm vào môi trường nuôi cấy vi khuẩn (180μL) đã được chuẩn bị từ qua đêm được pha loãng với cùng một môi trường được sử dụng để nuôi cấy vi khuẩn, trong trường hợp này, môi trường MHB được bổ sung 1,5% natri clorua và mật độ quang của tế bào pha loãng (OD ở 600nm) đã được đo. Dịch cấy được pha loãng cho đến khi thu được 0,01 O.D. trong các đĩa microtiter trong các phần dịch để đạt được nồng độ cuối cùng là 0,2mg chiết xuất gừng hoặc 2mg chiết xuất gừng.
Môi trường để nuôi biofilm được ủ ở 30°C mà không khuấy qua đêm trước khi biofilm hình thành được nhuộm màu tím pha lê và độ dày của chúng được đo bằng chỉ số độ hấp thụ ở O.D. 600nm. Chỉ số độ hấp thụ càng cao, thì màng sinh học càng dày. Một thử nghiệm tương tự cũng đã được chuẩn bị để xác định xem chất chiết xuất có ức chế sự phát triển của tế bào sinh vật phù du VAHPND hay không. Vi khuẩn được nuôi cấy trong đĩa không tráng sử dụng môi trường MHB với 1,5% NaCl và được ủ qua đêm ở 30°C với tốc độ khuấy ở 200 vòng/phút.
Sự hấp thụ ánh sáng ở bước sóng 600nm được sử dụng làm chất chỉ thị tăng trưởng tế bào. Người ta quan sát thấy rằng chiết xuất gừng ở cả hai nồng độ này đều ức chế đáng kể màng sinh học của VAHPND nhưng không ức chế sự phát triển của vi khuẩn, nên chiết xuất gừng ở các nồng độ thấp hơn như 400μg/mL, 300μg/mL, 200μg/mL và 100μg/mL có hiệu quả cũng được thử nghiệm và tất cả các nồng độ đều được phát hiện có tác dụng ức chế sự hình thành màng sinh học của vi khuẩn (Hình 1). Để biết thêm thông tin chi tiết về các giao thức được sử dụng và kết quả, vui lòng tham khảo Soowannayan và cộng sự (2019) đăng trong Aquaculture 504, trang 139-147.

Hình 1. Các chỉ số mật độ quang học trung bình ở bước sóng 600nm cho thấy sự phát triển hoặc tăng trưởng của tế bào sinh vật phù du Vibrio parahaemolyticus 3HP trong môi trường nuôi cấy (a) và độ dày màng sinh học (b). Trong hình (a), các tế bào phù du của vi khuẩn được nuôi cấy trong môi trường một nửa MHB và đầy đủ MHB với không có và có chiết xuất gừng ở hai nồng độ khác nhau (2mg/mL và 0,2mg/mL). Dịch chiết ở nồng độ thấp hơn (0,2 mg/mL) không ức chế sự phát triển của vi khuẩn nhưng thúc đẩy đáng kể vi khuẩn hơn so với nhóm đối chứng. Trong hình (b), trung bình O.D. của các màng sinh học nhuộm màu tím pha lê khi có và không có chiết xuất gừng ở các nồng độ khác nhau và trong MHB. Dịch chiết ức chế đáng kể (P<0,05) màng sinh học ở tất cả các nồng độ khi so sánh với nhóm đối chứng. Phỏng theo Soowannayan và cộng sự (2019).
Thức ăn bổ sung làm giảm tỷ lệ chết của tôm sau khi nhiễm VAHPND
Chiết xuất gừng sau đó được trộn với thức ăn thương mại dành cho tôm post (ở hai nồng độ khác nhau; 0,2 mg/g và 2 mg/g thức ăn) và cho ba nhóm tôm thẻ chân trắng, Penaeus vannamei ăn trong 7 ngày trước khi tôm bị cảm nhiễm bằng phương pháp ngâm với VAHPND ở 105 CFU/mL. Chúng tôi tiếp tục cho tôm ăn thức ăn tương ứng, trong khi tôm ở nhóm đối chứng được cho ăn thức ăn bình thường không bổ sung gừng thêm 9 ngày nữa, trong thời gian đó sức khỏe và tỷ lệ chết của chúng được quan sát và so sánh.
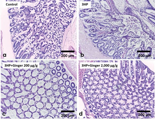
Từ kết quả thu được, thức ăn bổ sung gừng ở nồng độ 2mg/g hoặc 0,2mg/g được nhận thấy có thể bảo vệ tôm thẻ chân trắng chống lại nhiễm VAHPND. Tỷ lệ sống trung bình của tôm được cho ăn chiết xuất gừng lần lượt là 50,0% và 42,5%, cao hơn 42,5% và 35% so với tôm bị nhiễm bệnh được cho ăn thức ăn không bổ sung gừng (tỷ lệ sống là 7,5%). Tỷ lệ sống của nhóm đối chứng không cảm nhiễm với vi khuẩn là 92,5% (Hình 2). Kiểm tra mô bệnh học của các mô nhuộm hematoxylin và eosin (H&E) ở tôm nhiễm AHPND phân lập với 3HP cho thấy các bệnh lý AHPND ít nghiêm trọng hơn ở tôm bị nhiễm bệnh được cho ăn thức ăn có bổ sung chiết xuất gừng (Hình 3).
Trong nghiên cứu này, chúng tôi cũng phát hiện ra rằng không có tác động tiêu cực rõ ràng nào của chiết xuất gừng đối với tính ngon miệng của thức ăn hoặc đối với sự phát triển của tôm. Ba hợp chất có hoạt tính sinh học được biết là có trong chiết xuất gừng (6-gingerol, 8-gingerol và 6-shogaol) cũng đã được thử nghiệm về hiệu quả ức chế màng sinh học ở AHPND, kết quả cho thấy 6-shogaol là có hiệu quả nhất. Không có hợp chất hoạt tính sinh học nào trong số những hợp chất nêu trên có ảnh hưởng đến sự phát triển của vi khuẩn trong môi trường. Kết quả của nghiên cứu này cho thấy rằng việc sử dụng gừng hoặc các chất phụ gia thức ăn khác có tác dụng ức chế sự hình thành màng sinh học có thể là một cách tiếp cận thực tế để giảm tác động tiêu cực của AHPND trong nuôi tôm.

Hình 2. Biểu đồ thể hiện tỷ lệ sống tích lũy % của tôm post Penaeus vannamei được nuôi bằng thức ăn có bổ sung chiết xuất gừng sau khi cảm nhiễm với vi khuẩn Vibrio gây bệnh AHPND (dòng 3HP). Phỏng theo Soowannayan và cộng sự (2019).

Hình 3. (a) Mô gan tụy của tôm đối chứng âm tính cho thấy mô học bình thường; (b) Gan tụy của một con tôm sắp chết từ nhóm cảm nhiễm với VAHPND 3HP được cho ăn thức ăn không bổ sung gừng và cho thấy các tế bào biểu mô ống bong ra hàng loạt, đặc trưng của bệnh AHPND; (c) Gan tụy của một con tôm sắp chết từ nhóm cảm nhiễm 3HP được cho ăn bổ sung 200μg gừng và cho thấy biểu mô ống bị xẹp bất thường nhưng không có tổn thương AHPND đặc trưng; (d) Gan tụy của một con tôm sống sót từ nhóm cảm nhiễm với 3HP được cho ăn bổ sung 2000μg gừng và cho thấy mô học bình thường. Phỏng theo Soowannayan và cộng sự (2019).
Theo Aqua Culture Asia Pacific
Nguồn: https://aquaasiapac.com/2020/10/02/inhibition-of-vibrio-biofilm-formation-by-ginger-extracts/
Biên dịch: Huyền Thoại – Bình Minh Capital
BÌNH MINH CAPITAL- HƯỚNG ĐẾN NỀN NÔNG NGHIỆP XANH BỀN VỮNG
Xem thêm:
Phần 1 – Nghiên Cứu Về Hoạt Động Kiếm Ăn Của Tôm Thẻ Chân Trắng Dựa Trên Phát Hiện Âm Thanh Thụ Động
Phần 2 – Nghiên Cứu Về Hoạt Động Kiếm Ăn Của Tôm Thẻ Chân Trắng Dựa Trên Phát Hiện Âm Thanh Thụ Động
English