Khả năng kháng Vibrio parahaemolyticus, cho tỷ lệ sống cao hơn và cải thiện gan tụy tốt hơn.
Tiềm năng của các sản phẩm từ côn trùng từ lâu đã được biết đến như một biện pháp thay thế bền vững cho các thành phần có nguồn gốc từ biển trong thức ăn thủy sản, và chắc chắn rằng có rất nhiều câu hỏi được đặt ra về khối lượng sản xuất và định vị giá của các loại dầu và bột côn trùng có sẵn trên thị trường. Trong bài viết này, chúng tôi nghiên cứu về đặc tính chức năng của bột và dầu ruồi lính đen (BSF). Tuy nhiên, chúng tôi đặc biệt tập trung vào Entomeal (bột) và Entolipid (chất béo), được sản xuất bởi Veolia Bioconversion, Malaysia và những lợi ích tiềm năng của những sản phẩm này đối với ngành thức ăn thủy sản. Chúng tôi cũng báo cáo về một minh chứng cho thấy tiềm năng của chúng đối với tôm thẻ chân trắng Penaeus vannamei.
Lợi ích chung của bột và chất béo BSF
Những lợi ích chung chính của Entomeal và Entolipid được tóm tắt trong Hình 1. Một số lợi ích này khá đặc biệt và nó có thể bổ sung giá trị đáng kể cho công thức thức ăn chăn nuôi.

Hình 1. Đặc điểm chung của Entomeal và Entolipid
Điều quan trọng là thời gian từ khi thu hoạch ấu trùng ruồi lính đen đến khi chế biến thành phẩm (dầu và bột) không quá 8 giờ. Quá trình xử lý này không cho phép ảnh hưởng đến chất lượng của sản phẩm do sự hư hỏng và oxy hóa của vi sinh vật. Độ tươi của protein được xác nhận bởi các giá trị rất thấp đối với tổng nitơ dễ bay hơi (TVN) (tối đa 25 mg/%) và histamine (tối đa 10ppm) trong bột. Quá trình oxy hóa lipid trong Entomeal và Entolipid bị hạn chế, với giá trị POV điển hình dưới 5meq/kg chất béo và Totox dưới 20. Giá trị FFA thường thấp hơn 6%.
Ấu trùng BSF được nuôi trong môi trường được kiểm soát và cho ăn nguyên liệu được chứng nhận GMP+, loại bỏ nguy cơ nhiễm các chất không mong muốn. Điều này trái ngược với các sản phẩm thu hoạch từ biển hoặc đất liền. Do đó, độc tố nấm mốc, thuốc trừ sâu, kháng sinh và PCB/dioxin không có trong sản phẩm và hàm lượng kim loại nặng thấp hơn nhiều so với mức tối đa đối với nguyên liệu thức ăn chăn nuôi theo quy định của Liên minh Châu Âu (Chỉ thị EU 2002/32/EC).
Tác dụng tiềm năng đối với hệ thống miễn dịch và khả năng kháng bệnh
Một trong những chức năng tiềm năng thú vị nhất của bột và lipid côn trùng này có liên quan đến hệ thống phòng thủ tự nhiên của côn trùng. Côn trùng thiếu hệ thống miễn dịch thích ứng, nghĩa là chúng không thể tổng hợp kháng thể. Do đó, chúng đã phát triển một số con đường kháng khuẩn để giúp bảo vệ chống lại mầm bệnh. Hơn 150 peptide có hoạt tính kháng khuẩn (peptide kháng khuẩn – AMP) đã được xác định là một phần của hệ thống phòng thủ tự nhiên của côn trùng (Yi và cộng sự, 2014) và ít nhất 57 AMP đã được xác định trong BSF (Moretta và cộng sự, 2020).
AMP thể hiện tác dụng kháng khuẩn bằng cách phá vỡ màng vi sinh vật thông qua các cơ chế khác nhau như hình thành các kênh ion hoặc lỗ xuyên màng (Duclohier, 2002; Park và Hahm, 2005; Józefiak và Engberg, 2016). Các cơ chế này mạnh hơn nhiều so với cơ chế kháng vi sinh vật, ví dụ như kháng nguyên, được tìm thấy ở các động vật khác và làm giảm đáng kể khả năng phát triển sức đề kháng của vi khuẩn. Vì lý do này, AMP đang được nghiên cứu như một giải pháp thay thế cho thuốc kháng sinh (Wang và cộng sự, 2016; Auza và cộng sự, 2020) trong thức ăn chăn nuôi và mang lại giá trị gia tăng tiềm năng cho Entomeal.
Một tiềm năng bổ sung nằm trong thành phần axit amin cụ thể của bột BSF. Mặc dù axit amin cho thấy hàm lượng methionine và lysine thấp hơn bột cá, nhưng loại bột này rất giàu các axit amin thiết yếu khác:
- Histidine (3,02% protein, so với 2,04% protein trong bột cá), đóng vai trò quan trọng trong quá trình thích nghi của cá hồi và quá trình điều hòa thẩm thấu (Waagbo và cộng sự, 2010; Brack và cộng sự, 2005).
- Threonine (4,18% tổng lượng protein so với 3,82% trong bột cá), rất quan trọng đối với sự hình thành chất nhầy của cá trong điều kiện căng thẳng (Eddy và Fraser, 1982).
- Tryptophane (1,95% tổng lượng protein so với 0,76 % đối với bột cá), rất quan trọng để giảm căng thẳng cho động vật thông qua quá trình tổng hợp serotonin trong não (Winberg và cộng sự, 2001; Lepage và cộng sự, 2002; Hseu và cộng sự cộng sự, 2003; Hoglund và cộng sự, 2005, 2007).
Một số đặc điểm độc đáo phát hiện được từ phân tích lipid như tỷ lệ axit béo chuỗi trung bình (MCFA) cao. MFCA được hấp thu nhanh chóng từ ruột và vận chuyển trực tiếp đến gan, nơi chúng trải qua quá trình oxy hóa nhanh và cung cấp nguồn năng lượng sẵn có. Điều này trái ngược với các axit béo chuỗi dài, phải trải qua các quá trình trao đổi chất phức tạp hơn.
MCFA chính trong Entomeal và Entolipid là axit lauric (C12:0) chiếm tới 28% tổng số axit béo. Axit lauric chỉ có trong BSF (nhưng không có trong các loại côn trùng khác), dầu dừa, dầu cọ và sữa của động vật có vú. Axit lauric được hấp thụ và oxy hóa nhanh chóng giúp tăng cường năng lượng để vượt qua các điều kiện căng thẳng. Ngoài ra, axit lauric cũng được báo cáo là có tác dụng chống vi khuẩn, chống nấm và chống virus (Liebermann, 2006).
Bột BSF chứa khoảng 5% chitin, một loại -chitin tương tự như trong tôm. (Soetemans và cộng sự, 2021). Chitin là thành phần chính của bộ xương ngoài của động vật giáp xác và côn trùng, có tác dụng kích thích các tế bào miễn dịch bẩm sinh (Lee và cộng sự, 2008) và cải thiện khả năng kháng bệnh bằng cách giảm sự phát triển của mầm bệnh (Bruni và cộng sự, 2018).
Từ lý thuyết đến thực tiễn: Đánh giá hiệu quả chức năng trên tôm thẻ chân trắng
Trung tâm Nghiên cứu Kinh doanh Nuôi trồng Thủy sản, Đại học Kasetsart, Thái Lan đã tiến hành thực hiện một thử nghiệm để xác minh hiệu suất và các đặc tính chức năng tiềm năng của Entomeal và Entolipid.
Thí nghiệm được tiến hành theo ba bước:
- Lấy mẫu máu ở giai đoạn tăng trưởng để đánh giá phản ứng miễn dịch
- Thử nghiệm khả năng tiêu hóa
- Thử nghiệm cảm nhiễm với vi khuẩn Vibro parahaemolyticus.
Các điều kiện thí nghiệm được tóm tắt trong Bảng 1
Bảng 1. Tổng quan về thiết lập thử nghiệm

Nghiệm thức đối chứng được thiết lập với chế độ ăn không chứa sản phẩm từ côn trùng. Ba nghiệm thức thử nghiệm với ba mức Entomeal khác nhau đã được đánh giá (Nghiệm thức 1 – Nghiệm thức 3). Nghiệm thức thứ tư được xây dựng với việc bổ sung 2% Entolipid và 2% Entomeal (Bảng 2).
Bảng 2. Tổng quan về các nghiệm thức.

Thử nghiệm công thức thức ăn chăn nuôi
Thức ăn đối chứng dựa trên công thức thức ăn thương mại điển hình dành cho tôm thẻ chân trắng P. vannamei và tất cả các chế độ ăn được chuẩn bị bằng cách sử dụng các nguyên liệu phổ biến có sẵn trên thị trường. Các thức ăn thử nghiệm được xây dựng để thu được cùng mức protein thô (37,2%), lipid thô (7,83%) và tinh bột thô (16,9%), dẫn đến mức tổng năng lượng tương tự trong khẩu phần (Bảng 3).
Bảng 3. Tổng quan về công thức sử dụng cho khẩu phần đối chứng và khẩu phần thí nghiệm Entomeal và Entolipid

Thức ăn thử nghiệm được xây dựng dựa trên việc thiết lập khẩu phần ăn tối ưu để thể hiện các đặc tính chức năng của Entomeal và Entolipid. Bột cá và bột gan cá ngừ chất lượng tốt bị giảm một phần mà không hướng đến việc thay thế bột cá theo tỷ lệ 1:1. Các chất dinh dưỡng quan trọng khác như methionine, lysine, cholesterol và phospholipid được cân bằng ở mức tương tự như khẩu phần đối chứng (Lưu ý: không thể cân bằng phospholipid khi xử lý 2% Entomeal + 2% Entolipid mà không ảnh hưởng đến mức iso-lipid/iso-năng lượng).
Thử nghiệm năng suất (45 ngày kể từ PL12)
Tỷ lệ sống sau 45 ngày dao động từ 78,13% ở nhóm đối chứng đến tỷ lệ sống cao nhất là 82,50% ở nghiệm thức thứ 3 với 10% Entomeal. Không có sự khác biệt đáng kể về lượng thức ăn của tôm ở tất cả các nghiệm thức.
Tôm trong nghiệm thức 2 và 3 được cho ăn với chế độ ăn chứa 5% và 10% Entomeal lần lượt và nghiệm thức 4 với (2% Entomeal + 2% Entolipid) có trọng lượng cơ thể cao hơn đáng kể (sau 30 và 45 ngày cho ăn) so với nghiệm thức đối chứng và nghiệm thức 1 với (2% Entomeal, Hình 2).

Hình 2. Trọng lượng cơ thể trung bình sau 30 và 45 ngày. Các giá trị (trung bình ± độ lệch chuẩn) với các chữ cái khác nhau cho thấy sự khác biệt đáng kể (p<0,05).
Sau 45 ngày cho ăn, hệ số chuyển đổi thức ăn thấp hơn rõ rệt ở nghiệm thức 2, 3 (5%,10% Entomeal) và nghiệm thức 4 (2% Entomeal +2% Entolipid) so với nghiệm thức đối chứng và nghiệm thức 1 (2% Entomeal, Hình 3). Tỷ lệ hiệu quả protein (PER) tốt hơn đáng kể ở nghiệm thức 2, 3, 4 so với nghiệm thức 1 (2% Entomeal) và đối chứng. Nghiệm thức 2 cho thấy tỷ lệ hiệu quả sử dụng protein cao nhất (Hình 4).

Hình 3. Hệ số chuyển đổi thức ăn trung bình (FCR) sau 45 ngày cho ăn. Các giá trị (trung bình ± độ lệch chuẩn) với các chữ cái khác nhau cho thấy sự khác biệt đáng kể (p<0,05).

Hình 4. Tỷ lệ hiệu quả protein trung bình (PER) sau 45 ngày cho ăn. Các giá trị (trung bình ± độ lệch chuẩn) với các chữ cái khác nhau cho thấy sự khác biệt đáng kể (p<0,05).
Thông số máu và phản ứng miễn dịch
Các kết quả về phản ứng miễn dịch của tôm được cho ăn theo các chế độ ăn khác nhau được trình bày trong Bảng 4. Các kết quả này bao gồm tổng số haemocyte, hoạt tính phagocytosis, hoạt tính phenoloxidase, hoạt tính superoxide dismutase và hoạt tính diệt khuẩn. Tôm từ tất cả các nhóm được cho ăn chế độ ăn có sản phẩm từ côn trùng (nghiệm thức 1-4) cho thấy phản ứng miễn dịch cao hơn đáng kể so với nhóm đối chứng.
Bảng 4. Kết quả của nghiệm thức đối chứng và các nghiệm thức khác nhau về các thông số máu liên quan đến tình trạng miễn dịch của tôm thẻ chân trắng sau thử nghiệm tăng trưởng 45 ngày. Các giá trị (trung bình ± độ lệch chuẩn) trong cùng một cột có các chữ cái khác nhau cho thấy sự khác biệt đáng kể (p<0,05).

Thử nghiệm cảm nhiễm
Tỷ lệ chết tích lũy trung bình của tôm ở thử nghiệm cảm nhiễm với V. parahaemolyticus trong 7 ngày ở liều LD50, được thể hiện trong Hình 5.

Hình 5. Tỷ lệ chết tích lũy trong quá trình cảm nhiễm với Vibrio parahaemolyticus.
Tất cả các nghiệm thức đều cho thấy tỷ lệ sống trung bình cao hơn đáng kể sau 7 ngày cảm nhiễm so với nhóm đối chứng tích cực (chế độ ăn đối chứng không có bất kỳ sản phẩm côn trùng nào nhưng cũng bị cảm nhiễm với V. parahaemolyticus). Ngoài ra, tôm từ tất cả các nghiệm thức thử nghiệm cho thấy trọng lượng cơ thể trung bình tăng nhiều hơn đáng kể trong giai đoạn cảm nhiễm so với nhóm đối chứng tích cực.
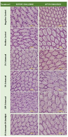
Mô học gan tụy của tôm trước và sau thử nghiệm cảm nhiễm với V. parahaemolyticus được trình bày như Hình 6.

Hình 6. Mô học hoặc gan tụy trước và sau khi cảm nhiễm với Vibrio parahaemolyticus
Gan tụy của tôm từ tất cả các nghiệm thức trước khi cảm nhiễm với V. parahaemolyticus cho thấy mô học bình thường và không nhận thấy bất kỳ dấu hiệu nhiễm bệnh nào.
Ngược lại, mô học gan tụy của tôm bị nhiễm V. parahaemolyticus cho thấy dấu hiệu bong tróc tế bào gan tụy điển hình của hội chứng phân trắng. Tuy nhiên, tôm từ nhóm được bổ sung bột côn trùng cho thấy tình trạng tế bào gan tụy tốt hơn so với nhóm đối chứng bị cảm nhiễm với V. parahaemolyticus không có bổ sung bột côn trùng. Ngoài ra, tôm cũng có ít dấu hiệu bong tróc gan tụy hơn. Thông tin này trùng khớp với tỷ lệ sống của tôm sau khi cảm nhiễm.
Kết quả từ thử nghiệm khả năng tiêu hóa
Chế độ ăn trong nghiệm thức 4 chứa 2% Entomeal +2% Entolipid có tỷ lệ tiêu hóa protein cao hơn đáng kể so với tất cả các chế độ ăn còn lại. Không có sự khác biệt về tỷ lệ tiêu hóa protein giữa các chế độ ăn có tỷ lệ bột côn trùng khác nhau bao gồm 10%, 5% và 2%. Tuy nhiên, tỷ lệ tiêu hóa protein từ ba nghiệm thức này cao hơn đáng kể so với nhóm đối chứng (Bảng 5). Không có sự khác biệt đáng kể về khả năng tiêu hóa lipid giữa các nghiệm thức. Chế độ ăn trong nghiệm thức 4 có tỷ lệ tiêu hóa vật chất khô cao hơn đáng kể, tiếp theo là nhóm đối chứng và các chế độ ăn còn lại.
Bảng 5. Khả năng tiêu hóa biểu kiến của chế độ ăn đối chứng và chế độ ăn có Entomeal và Entolioid đối với tôm thẻ chân trắng. Các giá trị (trung bình ± độ lệch chuẩn) trong cùng một cột với các chữ cái khác nhau thể hiện sự khác biệt đáng kể (<0,05)

Đồng thời, nghiệm thức 4 cũng cho thấy tỷ lệ tiêu hóa chất hữu cơ cao hơn đáng kể so với tất cả các nghiệm thức khác. Tỷ lệ tiêu hóa chất hữu cơ của nhóm 3 và 1 cao hơn đáng kể so với nhóm đối chứng và nhóm 2.
Nghiệm thức 4 có tỷ lệ tiêu hóa biểu kiến cao hơn đáng kể về chiết xuất không chứa nitơ so với tất cả các nhóm khác. Không có sự khác biệt về khả năng tiêu hóa của chiết xuất không có nitơ đối với tất cả các chế độ ăn chỉ chứa bột côn trùng.
Kết luận
Việc bổ sung Entomeal và Entolipid đã cải thiện hiệu suất của một công thức thương mại tiêu chuẩn cho tôm thẻ chân trắng trong một thử nghiệm cho ăn kéo dài 45 ngày, được chứng minh thông qua trọng lượng cơ thể trung bình cao hơn và FCR thấp hơn ở các chế độ ăn chứa bột BSF ở mức 5% và 10% và 2% dầu + 2% bột. Nhìn chung, việc bổ sung bột BSF và dầu BSF có tác động tích cực đến khả năng tiêu hóa thức ăn cho tôm được sản xuất theo công thức thương mại điển hình.
Phân tích mẫu máu, tỷ lệ sống và các quan sát mô học sau khi cảm nhiễm với V. parahaemolyticus đã cung cấp những nhận định ban đầu ở quy mô phòng thí nghiệm về các đặc tính chức năng tiềm năng của Entomeal và Entolipid đối với tôm thẻ P. vannamei. Tình trạng miễn dịch của tôm được cho ăn chế độ ăn có chứa bột và dầu BSF được cải thiện sau 45 ngày cho ăn và tôm có khả năng kháng V. parahaemolyticus cao hơn, dẫn đến tỷ lệ sống cao hơn và tình trạng gan tụy tốt hơn sau khi cảm nhiễm với mầm bệnh.
Theo Aqua Culture Asia Pacific
Nguồn: https://aquaasiapac.com/issue/jan-feb-2023/
Biên dịch: Huyền Thoại – Bình Minh Capital
Xem thêm:
- Xử Lý Nước Thải Bằng Phương Pháp Sinh Học Bioremediation Để Mang Lại Lợi Nhuận Trong Nuôi Tôm Thẻ Chân Trắng
- Virus Gan Tụy (HPV)
- Trại Tôm Trị Giá 39 Triệu Bảng Anh Đã Mở Cửa Ở Oman
English